پرونده مشتری. بلوک زيرکوني 4D.
2024-08-29
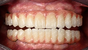
استاد: ایویلو دیمیتروف از بلغارستان
مواد: Yucera 4D Pro چند لایه Zirconia Disc
سایه: A1
2024-08-29
استاد: ایویلو دیمیتروف از بلغارستان
مواد: Yucera 4D Pro چند لایه Zirconia Disc
سایه: A1
درخواست خود را به طور مستقیم به ما بفرستید
پیام بگذارید
به زودی بهت زنگ میزنیم
پیام شما باید بین ۲۰ تا ۳۰۰۰ کاراکتر باشد!
لطفا ایمیل خود را چک کنید!
اطلاعات بیشتر ارتباط بهتر را تسهیل می کند
با موفقیت ارسال شد!
به زودی بهت زنگ میزنیم
پیام بگذارید
به زودی بهت زنگ میزنیم
پیام شما باید بین ۲۰ تا ۳۰۰۰ کاراکتر باشد!
لطفا ایمیل خود را چک کنید!